Si no se acuerda de esta canción del Portal del Web, entonces quizás usted pertenezca al grupo objetivo de los cigarrillos electrónicos y vapeadores. Es decir, las niñas, niños, adolescentes y jóvenes (sí, indirectamente nos dijimos vejetes).
Los cigarrillos electrónicos o vapeadores han estado en la mira recientemente porque el gobierno chileno presentó en el Senado una iniciativa que busca regular estos dispositivos creados por las tabacaleras, aplicándoles las mismas restricciones que el cigarrillo «tradicional». Eso significaría, entre otros puntos, prohibir la venta de vapeadores y sus líquidos a menores de 18 años y limitar severamente su publicidad.
¿Y por qué habría que ponerle esas restricciones a los vapeadores y cigarrillos electrónicos? ¿Acaso no sirven para reducir los efectos nocivos del cigarrillo o incluso para abandonarlo?
Pues, desafortunadamente, no. Algo grave está pasando en Estados Unidos. Algo que, al menos esta vez, no está directamente relacionado con su presidente: las agencias de salud de dicho país han informado la ocurrencia de 215 casos de un síndrome respiratorio severo y desconocido, que han requerido de hospitalización. Este síndrome se ha asociado al uso de cigarrillos electrónicos y hasta ahora ha provocado una muerte (1).
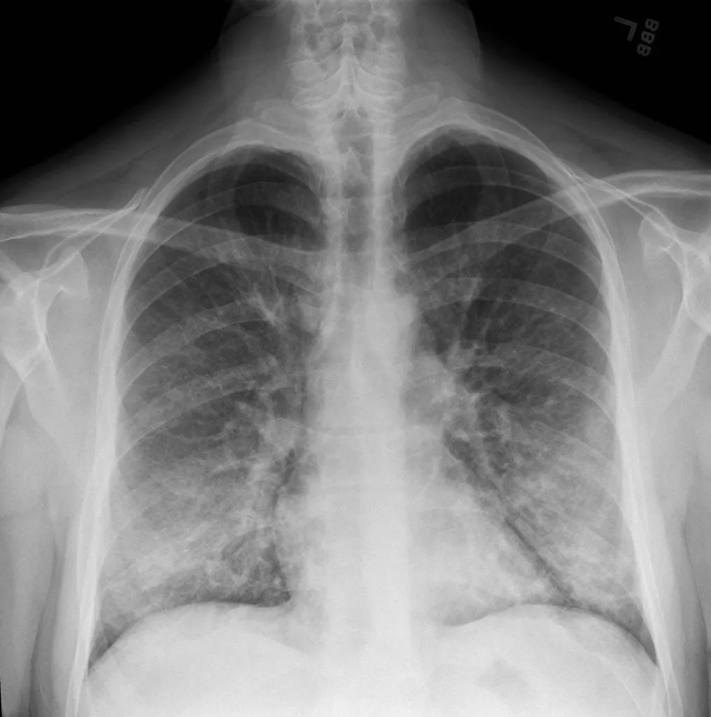
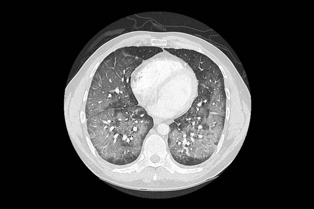
Fuente: Radiografía y scanner de pacientes con daño asociado al consumo de cigarrillo electrónico The New York times
Los casos se han presentado con aparición gradual de síntomas y siempre con el antecedente de haber usado cigarrillos electrónicos, ya sea con nicotina o con THC (constituyente del cannabis) (2). De estos últimos, se ha identificado que la mayoría contenía vitamina E acetato. Los síntomas reportados son: dificultad respiratoria y dolor en el pecho. Algunas personas también han informado padecer síntomas gastrointestinales, como vómitos y diarrea. También han registrado otros síntomas como fiebre, taquicardia y fatiga.
Este síndrome respiratorio se ha dado en un contexto no infeccioso, por lo que los especialistas están investigando cuál es el rol de los cigarrillos electrónicos en los casos.
Una de las interrogantes es qué marcas o líquidos son los que estarían involucrados en los casos, qué componentes o contaminantes (3) podrían estar afectando a los usuarios. Por ahora, se encuentran haciendo pruebas de laboratorio y encuestas epidemiológicas para poder responder a estas preguntas.
¿Se consumen en Chile los cigarrillos electrónicos?
Sip.
Su consumo está identificado mayoritariamente en niños, niñas y adolescentes, y la prevalencia de uso va en aumento.
Consumo de cigarrillo electrónico. Encuesta SENDA. Chile. 2014-2016
Consumo de cigarrillo electrónico. EMTJ y ENS. 2016-2017
Los cigarrillos electrónicos se conocen con muchos nombres diferentes: e-cigarrillos, e-cigarettes, e-cigs, narguiles electrónicos o e-hookahs, mods, plumas de vapor, vapeadores, sistemas de tanque, sistemas electrónicos de administración de nicotina o sistemas similares sin nicotina (pero ojo con este último que se ha visto que algunos productos que decían no tener nicotina... al final si tenían #Pillín). También se han utilizado para administrar marihuana y otras drogas.
En general, se trata de dispositivos que calientan un líquido y liberan un vapor que es aspirado por su usuario. Es decir, en lugar de quemar hojas de tabaco (y aditivos), generan aerosoles para inhalar el vapor. Los cartuchos con líquido pueden contener altas cantidades de nicotina, compuestos tóxicos y aditivos saborizantes, generando fuerte adicción en el público juvenil (4–7).
¿Emosido engañados?
Los cigarrillos electrónicos no son inocuos y los países deben regular su venta y comercialización. Esto no se nos ocurrió de lo pesados que somos: es una recomendación que aparece en el último informe sobre el tabaco de la mismísima Organización Mundial de la Salud (OMS) (8).
Fuente: CDC (9)
Algunos de los compuestos que tienen los líquidos de los cigarrillos electrónicos son los siguientes (9,10):
•
nicotina (adictiva, tóxica y afecta el desarrollo cerebral en adolescentes);
•
partículas ultrafinas que pueden inhalarse y llegar al fondo de los pulmones;
•
saborizantes como el diacetilo, una sustancia química vinculada a una enfermedad grave de los pulmones;
•
compuestos orgánicos volátiles (pueden causar irritación de ojo, nariz y garganta, cefaleas y náusea, daño hepático, daño renal y daño al sistema nervioso central);
•
sustancias químicas que causan cáncer, como el formaldehído;
•
metales pesados como níquel, estaño y plomo.
Debemos recordar que la nicotina no solo produce adicción, sino también causa daño a la salud. En la planta del tabaco, la nicotina es un veneno que actúa como pesticida para defenderse de los animales que quieren infestar la planta o comerse sus hojas ñom ñom.
Fuente: OMS (8)
Big Tobacco #TeLoResumoAsíNoMás
Quienes están detrás del mercado de los cigarrillos electrónicos no son ni nada más, ni nada menos, ni nada más, que las mismas empresas tabacaleras (11).
Estas empresas investigan desde hace décadas estrategias para mantenerse vigentes en el mercado y evitar las regulaciones y leyes de control de tabaco que se han aprobado en diversos países. El negocio de los cigarrillos electrónicos es solo su último intento: antes lo hicieron con los filtros, los cigarrillos mentolados y el uso de terminología confusa como «light» y «orgánico» (con estos conceptos buscan manipular la percepción de riesgo de las personas).
Por ello, siempre es bueno romper algunos mitos instalados por la industria: 1) no existen los cigarrillos light; 2) todos los cigarrillos son dañinos: causan cáncer y otras enfermedades.
Como el daño que producen los productos derivados del tabaco han sido ampliamente difundidos, la industria tabacalera ha debido cambiar sus estrategias. Sus esfuerzos publicitarios actuales —y que tienen un laaaaaaaaargo historial— se han orientado a determinar cómo adelantar el consumo temprano. Es decir, a generar adicción en niñas, niños y adolescentes: acá se los contamos hace un tiempo.
De hecho, una rápida mirada rápida a los documentos internos de la industria reveló que las tabacaleras han investigado el comportamiento de niños y niñas desde los 12 años para ajustar mensajes y campañas publicitarias para captar su atención (12).
Marketing to America's youth: evidence from corporate documents (12).
Les presentamos al villano más villano del universo Marvel. Más rico que Kingpin, más insidioso que Venom, más mentiroso que Loki, con menos escrúpulos que Thanos: las tabacaleras.
Y esto les ha resultado muy bien. Tanto así, que el tabaquismo se reconoce como una enfermedad pediátrica, pues es durante el período de la infancia y la adolescencia donde usualmente se inicia e instala el hábito (13)
¿Qué se recomienda entonces?
Como las evidencias indican que los cigarrillos electrónicos causan daño y su efectividad para dejar de fumar es contradictoria, las autoridades no los recomiendan como terapia de cesación.
En Chile, la regulación de estos productos debe actualizarse. El año 2010, el Instituto de Salud Pública (ISP) les entregó resolución de «producto farmacéutico» (14), confiando en las investigaciones sesgadas de la industria, que los promocionaban como útiles para dejar de fumar.
¿Por qué una institución encargada de proteger la salud pública se creyó el cuento de que una empresa que gana toneladas de dinero con un producto que genera adicción iba a vender un producto que acabaría con dicha adicción?
Actualmente, hay 3 proyectos de ley y una moción parlamentaria que buscan proteger la salud de la población mediante la regulación de estos productos (15). Como decíamos al principio, el último proyecto, presentado el día martes 3 de septiembre por parte del Ministro de Salud, homologaría los cigarrillos electrónicos a las regulaciones del cigarrillo tradicional, tanto los vapeadores con y sin nicotina (prohibición de venta a menores de edad, impuestos, advertencias sanitarias, regulación comercialización, distribución y publicidad), y también prohibiría el uso de aditivos saborizantes, que son incorporados para captar la atención de público infantil y muchos de ellos son tóxicos (16,17).
Si usted usa cigarrillos electrónicos, esté alerta a síntomas como tos, dificultad respiratoria, dolor en el pecho, para buscar atención médica y recuerde informar que ha usado esos productos.
Y tenga cuidado donde lo guarda, pues han habido casos de intoxicación en niños por ingerirlos. ¿QUIÉN PODRÍA HABER IMAGINADO QUE UN NIÑO QUERRÍA BEBER UN LÍQUIDO QUE DICE COTTON CANDY, MANGO O GUMMY BEAR?
Y cuidado, que también han habido heridos graves por explosiones de esos aparatos.
¿Recomendación final?
Si en verdad quiere dejar de fumar, consulte a una médica o médico que pueda darle el apoyo y la orientación necesaria para hacer una terapia que tenga evidencias de ser segura y efectiva.
Referencias
1.
CDC. HAN Archive - 00421 | Health Alert Network (HAN) [Internet]. 2019 [citado 1 de septiembre de 2019]. Disponible en: https://emergency.cdc.gov/han/han00421.asp
2.
FDA. E-Cigarette Products: Safety Communication. FDA [Internet]. 30 de agosto de 2019 [citado 1 de septiembre de 2019]; Disponible en: http://www.fda.gov/safety/medwatch-safety-alerts-human-medical-products/e-cigarette-products-safety-communication-due-incidents-severe-respiratory-disease-associated-use-e
3.
Lena Sun. Contaminant found in marijuana vaping products linked to deadly lung illnesses, tests show. Washington Post [Internet]. 5 de septiembre de 2019 [citado 5 de septiembre de 2019]; Disponible en: https://www.washingtonpost.com/health/2019/09/05/contaminant-found-vaping-products-linked-deadly-lung-illnesses-state-federal-labs-show/
4.
Alasmari F, Crotty Alexander LE, Hammad AM, Bojanowski CM, Moshensky A, Sari Y. Effects of Chronic Inhalation of Electronic Cigarette Vapor Containing Nicotine on Neurotransmitters in the Frontal Cortex and Striatum of C57BL/6 Mice. Front Pharmacol [Internet]. 2019 [citado 2 de septiembre de 2019];10. Disponible en: https://www.frontiersin.org/articles/10.3389/fphar.2019.00885/full
5.
Yingst JM, Foulds J, Veldheer S, Hrabovsky S, Trushin N, Eissenberg TT, et al. Nicotine absorption during electronic cigarette use among regular users. PloS One. 2019;14(7):e0220300.
6.
Landry RL, Groom AL, Vu T-HT, Stokes AC, Berry KM, Kesh A, et al. The role of flavors in vaping initiation and satisfaction among U.S. adults. Addict Behav. 1 de diciembre de 2019;99:106077.
7.
Avelar AJ, Akers AT, Baumgard ZJ, Cooper SY, Casinelli GP, Henderson BJ. Why flavored vape products may be attractive: Green apple tobacco flavor elicits reward-related behavior, upregulates nAChRs on VTA dopamine neurons, and alters midbrain dopamine and GABA neuron function. Neuropharmacology. 1 de noviembre de 2019;158:107729.
8.
World Health Organization. WHO Report on the Global Tobacco Epidemic, 2019 [Internet]. 2019. Disponible en: https://apps.who.int/iris/bitstream/handle/10665/326043/9789241516204-eng.pdf?ua=1
9.
CDC’s Office on Smoking and Health. Smoking and Tobacco Use; Electronic Cigarettes [Internet]. Centers for Disease Control and Prevention. 2019 [citado 1 de septiembre de 2019]. Disponible en: https://www.cdc.gov/tobacco/basic_information/e-cigarettes/about-e-cigarettes.html
10.
American Cancer Society. What Do We Know About E-cigarettes? [Internet]. [citado 1 de septiembre de 2019]. Disponible en: https://www.cancer.org/cancer/cancer-causes/tobacco-and-cancer/e-cigarettes.html
11.
CDC. Major E-Cigarette Manufacturers [Internet]. 2016. Disponible en: https://www.cdc.gov/tobacco/data_statistics/sgr/e-cigarettes/pdfs/2016_SGR_App_4-1_508.pdf
12.
Cummings KM, Morley CP, Horan JK, Steger C, Leavell N-R. Marketing to America’s youth: evidence from corporate documents. Tob Control. 2002;11:i5–17.
13.
Committee on Environmental HealthHealth, Committee on Substance Abuse, Committee on Adolescence, Committee on Native American Child. From the American Academy of Pediatrics: Policy statement--Tobacco use: a pediatric disease. Pediatrics. noviembre de 2009;124(5):1474–87.
14.
Ministerio de Salud. RES 2994 EXENTA: Determina régimen de control a aplicar a los productos denominados genéricamente cigarrillos electrónicos, sus componentes y cualquier otro dispositivo similar que sea formulado sobre la base del principio activo nicotina. [Internet]. 2010 [citado 1 de septiembre de 2019]. Disponible en: https://www.leychile.cl/Consulta/m/norma_plana?org=&idNorma=1018562
15.
Radio Pauta. La venta sin control de los vapeadores entra en la órbita parlamentaria [Internet]. pauta. 2019 [citado 1 de septiembre de 2019]. Disponible en: https://www.pauta.cl/nacional/alerta-sobre-riesgos-del-vapeo-en-chile-productos-venta-sin-control
16.
Marcela Gómez. Gobierno envía al Congreso regulación para cigarrillos electrónicos [Internet]. pauta. 2019 [citado 3 de septiembre de 2019]. Disponible en: https://www.pauta.cl/nacional/gobierno-envia-congreso-regulacion-para-cigarrillos-electronicos-nicotina
17.
Angélica Baeza. Gobierno ingresa al Senado proyecto que regulará vaporizadores: Serán tratados igual que el tabaco [Internet]. La Tercera. 2019 [citado 3 de septiembre de 2019]. Disponible en: https://www.latercera.com/nacional/noticia/gobierno-ingresa-al-senado-proyecto-regulara-vaporizadores-seran-tratados-igual-tabaco/808013/















